
你能想象吗?场外配资网站
有人心脏长在右边,
肝脏、脾脏全“长反了”——
五脏六腑像照镜子一样颠倒,
这种“镜面人”的概率,
比中彩票头奖还低,
全球仅百万分之一。
近日,福建就发现了一例……
而当“镜面人”遇上胆道疾病需要手术时,其解剖结构的“全盘反转”,对医生来说,简直是一场对技术与思维定式的终极挑战。
“五脏六腑全反了,手术刀该往哪下?”
近日,福建医科大学吴孟超纪念医院肝胆外科迎来一位特殊患者陈先生(化名)。
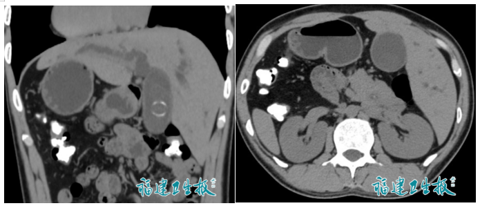
陈先生因腹痛、皮肤发黄前往医院检查,检查结果令人意外:不仅查出有胆总管结石,更惊人的是,他的右位心、完全内脏反位,通俗说,就是“五脏六腑像照镜子一样长反了”!
当地医院看到片子直摇头:“解剖结构全反了,手术风险太高,我们做不了。”
反转的脏器CT影像
陈先生辗转多地求医无果,最终慕名找到李海涛主任医师团队。
面对这百万分之一的罕见病例,李海涛一句话掷地有声:“只要有一线希望,就不能让患者绝望。”
术前“逆向推演”:把“镜像解剖”刻进脑子里
手术难度有多大?打个比方:
普通人做手术靠“左肝右脾”的方向感,而“镜面人”相当于要把所有解剖知识“倒过来用”——腹腔镜镜头下的视野是反的,器械操作要左右手互换,稍有不慎就可能误伤血管和胆管。
为确保万无一失,李海涛及其团队开启“逆向备战”:联合影像科重建3D镜像模型,消化内科预判术中可能出现的胆道变异,麻醉科定制“反方向”监护方案,手术室护理团队反复演练器械摆放……
李海涛表示:“我们要在手术台上‘活’成一个‘镜面人’,才能精准找到结石的位置。”
两小时“镜像手术”:双镜配合,巧取结石不留后遗症
手术当天,李海涛站在手术台前,眼前的腹腔镜画面是“反”的——本该在左边的肝脏,此刻在右边;本该在右边的胆管,此刻在左边。他双手握着器械,像“左手画方右手画圆”般逆向操作。
腹腔镜负责“探路”,胆道镜深入胆管“抓石头”,李海涛巧妙避开变异的血管,从扩张的胆囊管断端精准取净结石,避免了传统手术“长期带T管”的痛苦。
整个手术仅用2小时,出血量不到50ml,堪称“教科书级”的精准操作。术后一周,患者陈先生就已康复出院了。
李海涛提醒:
身体异常别硬扛,
早发现早治疗是关键
来源:福建卫生报
原标题:《罕见!福建发现1例“镜面人”!医生:全球仅百万分之一!更棘手的是……》场外配资网站
涨配资提示:文章来自网络,不代表本站观点。